Dobro došli u našu dental kliniku
mesto gde se osmeh vraća sa stilom i poverenjem. Naš stručni tim posvećen je vrhunskoj nezi i individualnom pristupu. Bilo da vam je potrebna kontrola ili složeniji tretman, kod nas ste u sigurnim rukama.
Novi pacijenti
U našoj stomatološkoj ordinaciji vaše zdravlje i osmeh su nam na prvom mestu! Zato svim novim pacijentima nudimo besplatan prvi pregled i savete, jer verujemo da je preventiva ključ zdravih zuba. Redovne posete zubaru nisu luksuz, već neophodan deo brige o vašem zdravlju.

Dr. Mitar Soskić
Doktor Stomatologije
Potpuna nega u vreme koje vama odgovara
Unosimo život u vaš osmeh
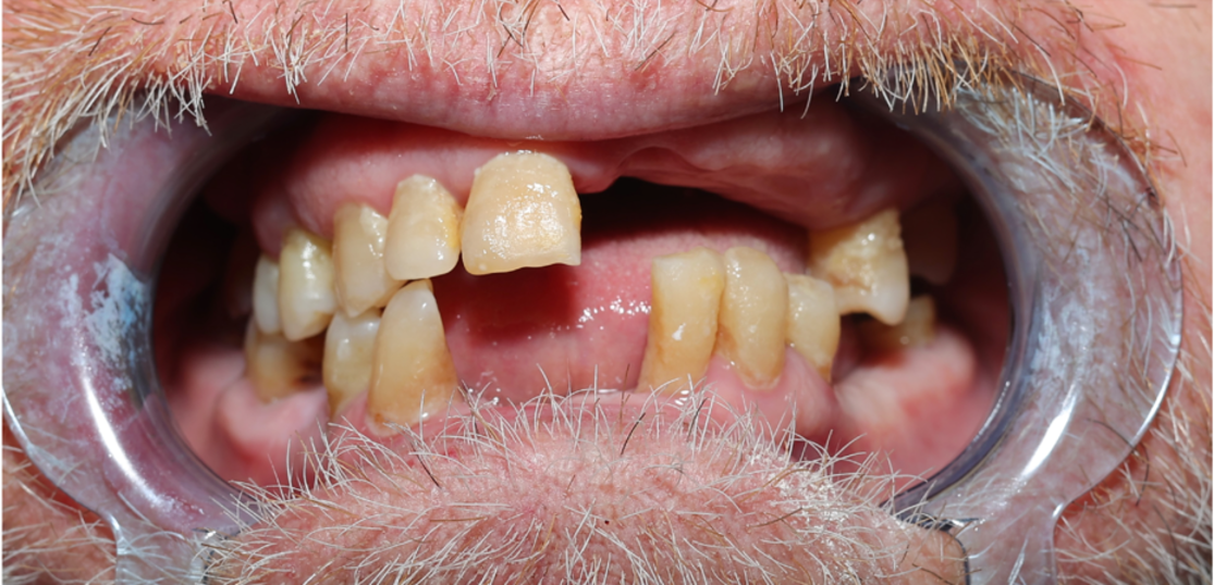
Jedna od mnogih srećnih priča
transformacija duha i tela
Srećne priče
Stvaramo blistave osmehe za zdrav način života!
Stomatolog koji mi je zaista vratio osmeh! Uz njegovu stručnost i pažnju, moje iskustvo je bilo potpuno bez stresa. Preporučujem ga svim prijateljima!
Imala sam strah od stomatologa, ali ovaj tim je učinio da se osećam potpuno opušteno. Sjajna usluga i profesionalizam – moj osmeh nikada nije bio lepši!
Vrhunski tretman i savršeni rezultati. Bila sam zadovoljana svim uslugama koje su mi pružene, od početne konsultacije do završnog tretmana. Topla preporuka!
Impresioniran sam profesionalizmom i pažnjom koju sam dobio tokom tretmana. Brza i efikasna usluga, a rezultat je bio izvanredan.
Iskusni i pažljivi stomatolog koji se pobrinuo za sve moje potrebe. Brzo i bezbolno rešavanje problema sa zubima.
